Smile Gallery - Red Bank Smiles
Welcome to the Smile Gallery
Your smile tells your story — and we’re here to help you love what it says. Browse real results from patients who trusted us to restore confidence, function, and natural beauty.
Dr. Klayman tells the story of each patient in his own words.

Smile Makeover


Rich
Rich broke an upper back tooth. He was aware that he teeth were changing, but once we starting talking about how each tooth was dependent on the other, Rich understood how life-changing a full mouth rehabilitation would be. Work like this doesn’t happen overnight, but Rich is delighted at the comfort of his bite and the power of his smile.


Lynn
Lynn had been a “less-is-more” dental patient. She had an aversion to crowns, thinking they were for people who didn’t take care of their teeth; and she felt veneers who ostentatious. After a thorough interview to understand her dental history and concerns, Lynn realized that her previous dentistry had been holding her together, but wasn’t getting her to a place of stability. She also had worn her front teeth down over time and there was a pretty significant bonding done at some point. Lynn chose a plan of straightening, some back crowns, and 2 front veneers. She couldn’t believe she didn’t do this sooner!


Houy
Houy was having continual problems with teeth. When she lost a front tooth, she decided it was time to fix her long-term problems. Combining Invisalign, crowns, veneers, and implants, I was able to rebuild Houy’s bite to function properly.

Veneers


John
John wanted an amazing smile. No if’s, and’s, or but’s. No compromises. That was simple to accomplish for his top teeth with a set of porcelain veneers. On the lower, he was missing a lower front tooth, which made major complications to creating perfection on the lower teeth. John straightened his bottom teeth as much as her could to get them as good as her could. However, with his perfect top teeth, John has the biggest, best smile in the room!


Rebecca
Rebecca had her front 2 teeth bonded at some point. However, over time they were starting to break down. After her brother had his teeth fixed by me, she came in ready to do something more permanent. Two front veneers made over 2 visits about 4 weeks apart gave Rebecca confidence in her smile!


Sara
Sara wasn’t happy with the arrangement of her teeth. A set of veneers was outside her budget, so we set a goal of putting her beautiful, healthy teeth in their proper position with Invisalign clear aligners. We were able to give Sara that wide, white smile she wanted in time for her wedding!


Helena
Helena has two bulky, overbuilt crowns on her 2 front teeth that she was growing more and more self-conscious. They were even starting to make her gums look dark, and she wasn’t smile as big as she would normally. She was nervous about the treatment, but it was only a few visits of whitening and 2 new porcelain crowns, and Helena was amazed that it was really that simple!

Dental Implants


Anthony
Anthony’s teeth were failing. He invested in some problematic teeth about 10 years prior, and was aware he’d had to approach his whole mouth. He didn’t removable teeth. At one visit, with the combination of a surgeon, 5 implants were placed, the problematic teeth removed, and a new set of teeth were placed.


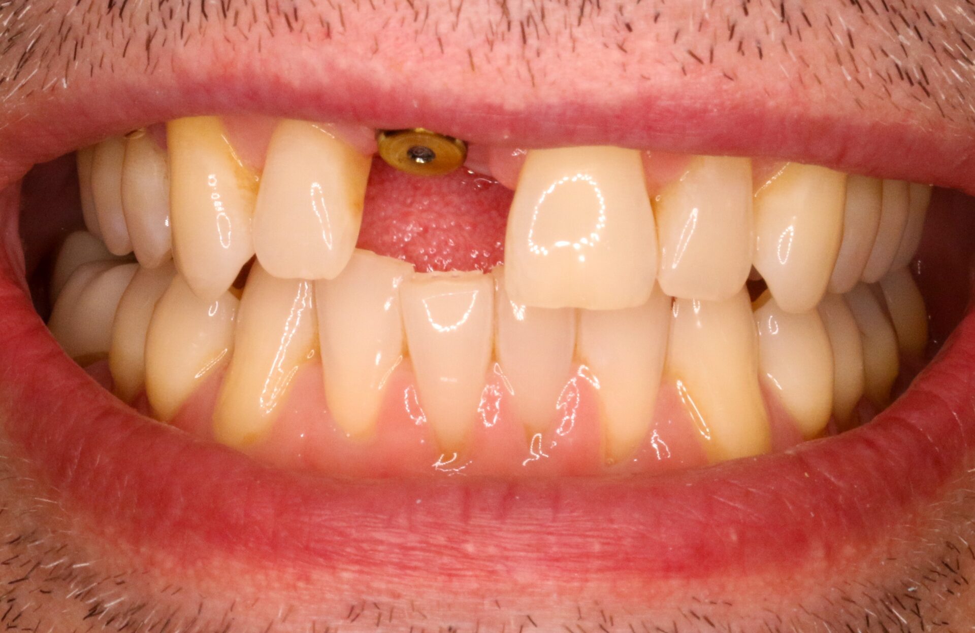
Drew
Drew broke his front tooth off below the gumline, and it couldn’t be saved. Though it took 5 months, a single implant made Drew smile again!


Jenny
Jenny’s teeth were failing. She had a few front implants that were working out well, but the remaining top teeth could not be saved. Jenny was adamant that she did not was something removable. Jenny received 5 implants, and I was able to make her teeth that locked into those implants. Jenny got the new smile she wanted, and is finally able to eat again!


Jody
Jody’s top teeth were not salvageable. He knew he needed to do something, and he knew that something was not removable teeth. Coordinating with one of our talented oral surgeons, we were able to build Jody a new set of teeth that rest on 2 fixed implants. Yes, he has to take his teeth out at night, but he can eat, speak, and smile with confidence.

Denture Cases


Mike
Mike had gum disease, or periodontitis. His teeth were loose and he couldn’t eat or talk comfortably. A set of conventional immediate dentures has served Mike well. The best part is that Mike didn’t have to go without teeth- I was able to remove the failing teeth and give him his new teeth at the same visit!


Ramona
Ramona knew she was having some problems. She had an upper bridge that she suspected was failing. It had received some additional work over time, but she never felt quite right about the solutions, as she continued to have problems. She couldn’t eat without risk of the bridge falling out. As we discussed Ramona’s options, the best solution for her was a conventional denture. Ramona is now back to eating and speaking with comfort and confidence.


Rich
Rich first visited us not really looking to accomplish anything with his teeth. Only through getting to know him, did he start to share that he was having trouble eating. Due to the breakdown of his teeth, the only way to replace the missing teeth would be to fix the remaining teeth as well. Rich didn’t have to have any teeth removed, and each tooth was fixed individually. The only compromise that was necessary was having something removable for the missing teeth, because there wasn’t enough bone for implants.


Tina
Tina suffered with infected teeth, a loose upper removable partial denture, and mismatched teeth due to unartistic bondings, staining, and recession. Rather than suffer, over the course of a few visits, I built Tina a new set of upper teeth.

Orthodontic Cases


Andrew
Andrew has been self-conscious of his smile his entire life. He never had braces and had some ugly bondings from some high-school accidents. Now that he was in sales, he was ready to do something to have a smile that he could be proud of. A combination of orthodontics and veneers over 9 months gave Andrew the smile he always wanted.


Lee
Lee didn’t smile. She also was going through a lot of dentistry. It took a few years before she was ready to address the underlying cause of all of her problems- the arrangement of her teeth. We knew we’d never get her a Hollywood smile, but that was’t the goal. The goal was to help Lee smile again. It’s amazing: once she finished her orthodontics, Lee’s cheeks hurt from smiling so much!


Christine
Christine wasn’t happy with her snaggletooth. She was a self-admitted grinder, as well. After discussing the concerns with her smile, Chris was more than ready to get her teeth straightened and some bonding done. She was surprised that this solution was never offered to her before. We also had to do a work on her molars to support them and get her bite in order. She more comfortable with her bite and more confident in her smile than she’s ever been before!


Cathy
Cathy had a smile she could be proud of. She never showed her teeth when she smiled. She was also having back teeth issues because her front teeth didn’t touch. Less than a year of Invisalign, whitening, and some bonding, and Cathy is smiling like she never smiled before!

Bonding


James
James had his wedding coming up and had a previous bonding that was breaking down. Though he knew another bonding was not a forever solution, he needed a fix that would fit his timeline and budget. Replacing the bonding to make James confident in his smile was completed in one visit. James was grateful to have one less wedding worry on his mind!


Danielle
Danielle had a chip on her front tooth. A very quick few minutes, and the chip was fixed with minimally invasive bonding.


Shirley
Shirley chipped her front tooth. I easily fixed the tooth with some bonding. What more can I say? A very straightforward bonding.


Asheligh
Asheligh had a previous front bonding that prevented her from smiling. She didn’t want to do veneers yet, so I was able to replace the bonding to keep her happy.

Bridges & Crowns


Bob
Bob had some crowns on his front teeth that were failing. He wasn’t very concerned with how they looked. Even though the old crowns were a bit “bucked,” he had been told that’s how they had to be. Bob was astounded that I was able to make him straight, white front teeth.


Tara
Tara had injured her teeth when she was a child. She had been through a lot since then, and was not excited to engage with more dentistry. However, she was unhappy with the appearance of her 2 front crowns. Tara had declined the type of dentistry that would have allowed her to love her smile, rather opting to just replace the 2 crowns. We did our best getting them to look as good as possible. This is a great example when more dentistry is better dentistry.


Lynn
Lynn had a complicated dental history, which had been done in pieces. She suffered the loss of an upper left implant. When it came time to consider what to do with the upper left tooth, Lynn decided it was time to address all the teeth together in a coordinated fashion. Lynn is super happy with her “Hollywood Smile!”


Anne
Anne had noticed a space between her bridges, and the chipping of the edges of the teeth. Her previous dentist had told her nothing could be done and to not worry about. Anne shared with me that she wasn’t happy with a lack of solution and that cost was not an issue. A new bridge was a very simple solution to make Anne happy with her smile.
